Midelerinde uyuşturucu çıkan 2 şüpheli, tutuklandı
Midelerinde uyuşturucu çıkan 2 şüpheli, tutuklandı
Midelerinde uyuşturucu çıkan 2 şüpheli, tutuklandı
Haber Giriş Tarihi: 12.04.2025 23:43
Haber Güncellenme Tarihi: 12.04.2025 23:43
Kaynak:
DHA
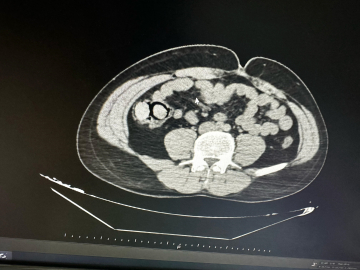
Aziz ÖNAL/ BİNGÖL, (DHA)- BİNGÖL’de polis ekiplerince düzenlenen uyuşturucu operasyonunda midelerinde 10 parça halinde 113 gram metamfetamin tespit edilen 2 şüpheli, tutuklandı. İl Emniyet Müdürlüğü Narkotik Suçlarla Mücadele Şube Müdürlüğü ekipleri tarafından gerçekleştirilen operasyonda, uyuşturucu ticareti yapmak üzere kente otobüsle geldiği bilgisine ulaşılan 2 şüpheli gözaltına alındı. Şüphelilerin hastanede yapılan muayenelerinde, midelerinde toplamda 10 parça halinde 113 gram metamfetamin maddesi ele geçirildi. Şüphelilerin midelerindeki uyuşturucu paketleri, hastanede yapılan işlemle çıkarıldı. Emniyetteki işlemlerinin ardından adliyeye sevk edilen şüpheliler, sevk edildikleri adliyede çıkarıldıkları mahkemece tutuklanarak cezaevine gönderildi.(DHA)
Sizlere daha iyi hizmet sunabilmek adına sitemizde çerez konumlandırmaktayız. Kişisel verileriniz, KVKK ve GDPR
kapsamında toplanıp işlenir. Sitemizi kullanarak, çerezleri kullanmamızı kabul etmiş olacaksınız.
En son gelişmelerden anında haberdar olmak için 'İZİN VER' butonuna tıklayınız.
Midelerinde uyuşturucu çıkan 2 şüpheli, tutuklandı
Midelerinde uyuşturucu çıkan 2 şüpheli, tutuklandı
Aziz ÖNAL/ BİNGÖL, (DHA)- BİNGÖL’de polis ekiplerince düzenlenen uyuşturucu operasyonunda midelerinde 10 parça halinde 113 gram metamfetamin tespit edilen 2 şüpheli, tutuklandı. İl Emniyet Müdürlüğü Narkotik Suçlarla Mücadele Şube Müdürlüğü ekipleri tarafından gerçekleştirilen operasyonda, uyuşturucu ticareti yapmak üzere kente otobüsle geldiği bilgisine ulaşılan 2 şüpheli gözaltına alındı. Şüphelilerin hastanede yapılan muayenelerinde, midelerinde toplamda 10 parça halinde 113 gram metamfetamin maddesi ele geçirildi. Şüphelilerin midelerindeki uyuşturucu paketleri, hastanede yapılan işlemle çıkarıldı. Emniyetteki işlemlerinin ardından adliyeye sevk edilen şüpheliler, sevk edildikleri adliyede çıkarıldıkları mahkemece tutuklanarak cezaevine gönderildi.(DHA)
Kaynak: DHA
En Çok Okunan Haberler